News MIT researchers use mucus to attack Salmonella and other bacterias

Anne Trafton MIT News September 25, 2025

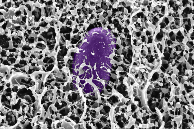
A new study out of MIT shows how mucin found in mucus can be used to stop Salmonella and other viruses before they start. The bottle-shaped polymer can interact with and disarm the genes needed for these illnesses to infect the body.